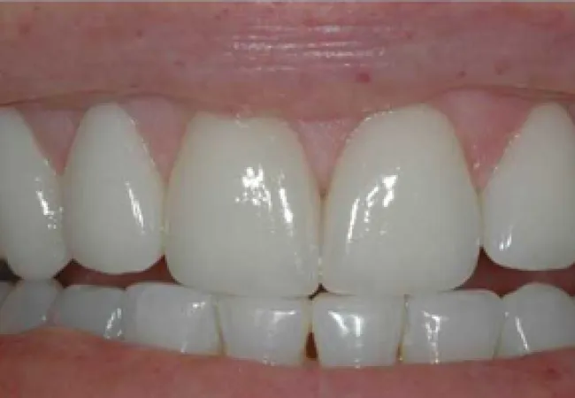
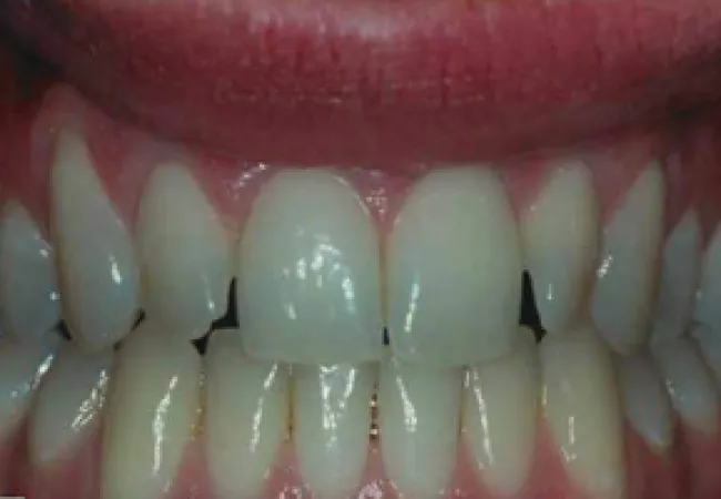
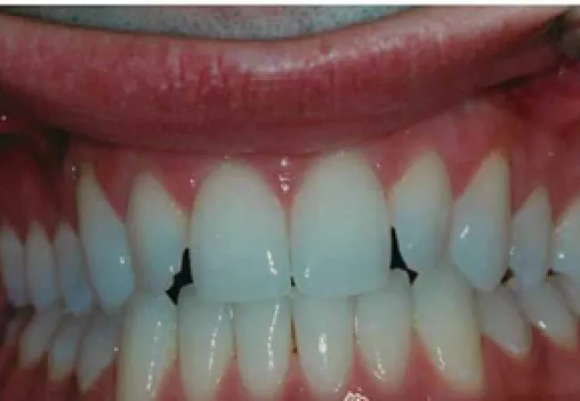
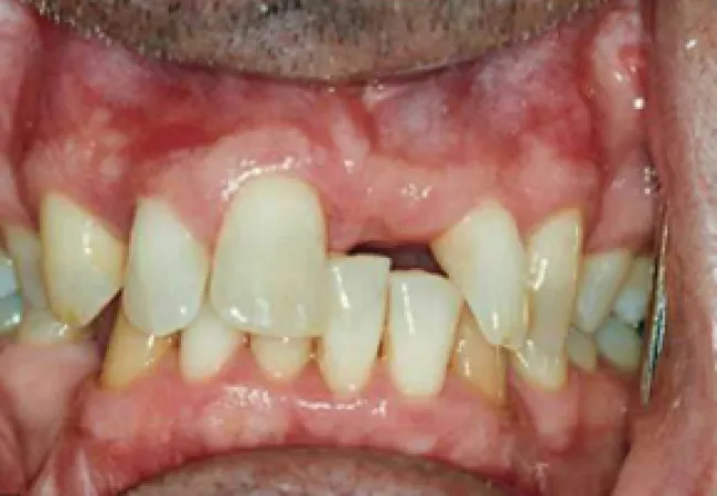
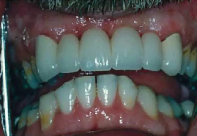
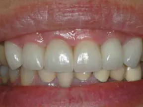
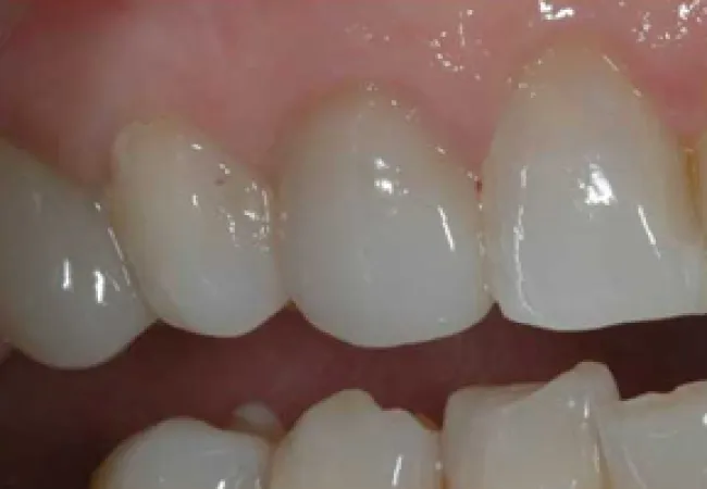
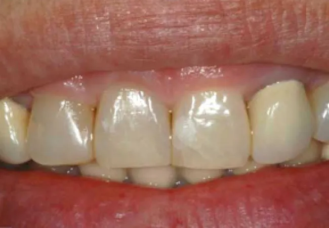
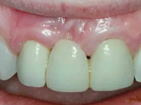
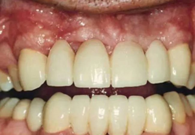
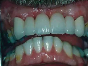
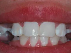
Smile Gallery

Transform Your Best Feature

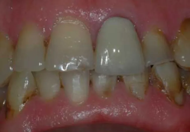
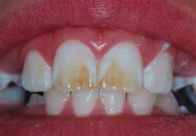
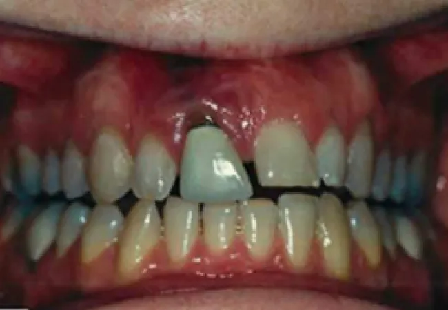
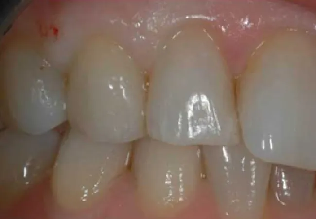
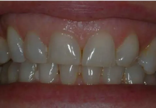
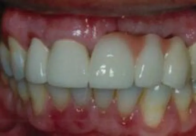
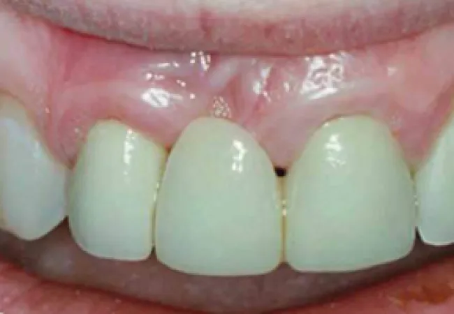
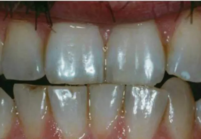
Browse Through Our Impressive Smile Gallery in Portland, OR

As a patient of Kennedy Dental, you'll benefit from our years of experience transforming smiles and changing lives. Whether you need veneers, orthodontics, dental implants, or a complete smile makeover, we'll create a personalized treatment plan to give you your dream smile. Take time to view our Portland, OR smile gallery and then check out our patient testimonials. We know how important it is to have a smile you love, and we've helped many patients fall in love with theirs again.

To make the process easier, we'll make sure you're relaxed during your treatment with calming amenities and dental sedation options. When you're ready, call 866-552-4346 for an appointment to finally get the smile you deserve! You can also request an appointment online. No insurance? Ask about our in-house membership club.

Read Why Our Patients Love Us

Have always had excellent care and treatments. Dr. Kennedy is always upgrading and improving their equipment and techniques. Staff are welcoming and efficient.

Lynn K.

Going to Kennedy Dental was by far the best dental visit & consult I've had. I'm fairly dental phobic but Kassie explained everything she was going to do before hand & while she was cleaning my teeth as well. I have alot of broken & missing teeth in my mouth & hadn't been to...

Going to Kennedy Dental was by far the best dental visit & consult I've had. I'm fairly dental phobic but Kassie explained everything she was going to do before hand & while she was cleaning my teeth as well. I have alot of broken & missing teeth in my mouth & hadn't been to the dentist in years. Dr. Kennedy was very nice & so personable. I actually have alot of hope now that with their help, I will have a healthy smile back soon. I am very grateful for Dr. Kennedy, Kassie & Nancy. They all made me feel much better. 😊


Roni C.

I always recieve the best care at Kennedy Dental. I've been going to them since I was young and its amazing seeing how they've only continued to improve their service!

Connor S.

I've been seeing Dr. Kennedy and his staff for four years now. I cannot say enough good things about these people. I went through three Dentist's on my way to finding them and I'm so grateful that I didn't give up on my search. The service, professionalism, bedside manner is top-tier! It has...

I've been seeing Dr. Kennedy and his staff for four years now. I cannot say enough good things about these people. I went through three Dentist's on my way to finding them and I'm so grateful that I didn't give up on my search. The service, professionalism, bedside manner is top-tier! It has been so fun to watch Dr. Kennedy's practice grow over the years. If you're reading this because you're on the hunt for a kind, compassionate, team of quality humans/an amazing Dentist, you can stop your search.


Jaime F.

I had a great experience as a first-time patient. The staff were friendly, knowledgeable, and communicative, making me feel at ease right away. The facilities were modern, spotless, and well maintained. From the moment you walk in, it's clear that the practice is thoughtfully run, with patient...

I had a great experience as a first-time patient. The staff were friendly, knowledgeable, and communicative, making me feel at ease right away. The facilities were modern, spotless, and well maintained. From the moment you walk in, it's clear that the practice is thoughtfully run, with patient care as the top priority.


Erin B.

Always professional and kind! I have been a patient at Lombard Dental since 1996. Dr. Kennedy is always so patient with me as I have some anxiety at the dentist. His staff is so comforting and attentive towards me…. Always offering a blanket or emotional support. I left for a few years as my...

Always professional and kind! I have been a patient at Lombard Dental since 1996. Dr. Kennedy is always so patient with me as I have some anxiety at the dentist. His staff is so comforting and attentive towards me…. Always offering a blanket or emotional support. I left for a few years as my place of employment changed and I completely regret it…. But I am back now and so happy to be! Thank you, Kennedy Dental! If I could give you 10 stars I would! Rochelle Drakos


Rochelle D.

It's been more than 20 years I've been with Dr. Kennedy. He's the best dentist I've had. Highly recommend. Thank you Dr Kennedy as well as all of your staff.

Melchor J.

I had an absolutely amazing experience at Kennedy Dental. It was my first time visiting the dentist in awhile and the team was super helpful and responsive in answering my questions and scheduling an appointment online. The team addressed concerns I had with my teeth and showed genuine interest...

I had an absolutely amazing experience at Kennedy Dental. It was my first time visiting the dentist in awhile and the team was super helpful and responsive in answering my questions and scheduling an appointment online. The team addressed concerns I had with my teeth and showed genuine interest in my overall health. While I did purchase some oral care products, I didn't feel like they were pushing any services on me. I was very relaxed and afterward my mouth didn't ache like it does after walking out of some dentist offices. Money is always a concern, especially when not all health insurance covers dental care. The office has some great first-time patient specials and ongoing care plans for those who have to pay out-of-pocket. When I left I didn't realize how much time I had spent there, but they covered a lot of procedures from x-rays to pictures, cleaning, etc., but I was there for almost two hours. So if you're going there for a first-time visit I would just make sure you leave yourself enough time for the appointment. I definitely will be going back to them in the future.


Austen C.